広島県安芸郡海田町でインプラントならひまわり歯科

海田小学校
そば

駐車場
27台

ご予約・お問い合わせ

082-820-0800

WEB予約

〒736-0064 広島県安芸郡海田町昭和中町2-38

インプラント
専門医在籍

看護師在籍

歯科麻酔学会
専門医

認定医在籍

痛みに配慮した、
安心・安全なインプラント治療

IMPLANT

無料相談
実施中

COUNSELING

各専門分野のスタッフが
丁寧に対応させていただきます

まずは無料相談へお越しください

(お口の中の状況により詳しい検査診断が必要となる場合は、ご意向を確認の上、保険適用の検査を受けていただく場合があります。)

歯を失ったところへ
インプラントを入れたい

インプラント治療の詳細や
費用を教えてほしい

入れ歯との
違いを知りたい

他院でインプラント
治療を断られた

RESERVE

お電話またはWEBよりご予約いただけます

PROFESSIONAL

当院が選ばれる4つの理由

高い専門性で対応する
インプラント治療

日本口腔
インプラント
学会所属

01

インプラント専門チームを構成し

患者さんに寄り添った
治療提案

当院では日本口腔インプラント学会に所属する歯科医師が在籍しており、高い専門性と豊富な臨床経験を活かした治療をご提供します。患者さんのご要望や状態をしっかりとヒアリングさせていただき、場合によってはインプラント治療以外の選択肢も推奨するなど、患者さんに寄り添って健康を維持できる治療を一緒に考えていければと思います。

POINT

健康でい続けられることを
ゴールに、専門的な視点で
アドバイス

治療を通じて健康に生活を送っていただくことこそ、当院の治療方針です。そのためにはインプラントの専門性を活かすとともに、入れ歯やブリッジの方が適している患者さんにはインプラント以外をご提案させていただくこともございます。各種専門家が在籍しておりますので、ご安心いただけますと幸いです。

02

総合歯科医院として術前の管理から

治療後のメインテナンスまで
徹底管理

当院はインプラント治療だけではなく、一般歯科治療や予防処置、栄養管理など総合歯科医院として幅広く対応することができます。インプラント手術前後には、管理栄養士による栄養管理と口腔機能管理、インプラント治療完了後には長期的なメインテナンスなど、徹底した管理を行います。

POINT

管理栄養士による栄養管理を実施

インプラント治療を通じて健康な生活を手に入れていただきたい想いから、当院では専属の管理栄養士が在籍しています。患者さんの食事習慣や栄養状態などしっかりと把握して、健康を守るための食事指導が可能です。具体的には、食事計画の作成やアドバイス、記録サポートなど支援させていただきます。

術前・術後の栄養状態評価について

歯を失うと噛みにくさから柔らかい食べ物を選択してしまう傾向があるため、たんぱく質やビタミン(肉や魚、野菜など)の不足と、炭水化物の割合の増加に注意することが必要です。また、慢性的な低栄養や偏った食事は高血圧や糖尿病だけでなく、術後の治癒不全も引き起こす可能性があります。
それらを予防するために、インプラント治療を受ける患者さんにはそれぞれの全身状態に応じた管理栄養士による栄養相談(主に生活習慣や食事の内容についてのヒアリング、口腔機能検査)を当院では行っています。
本来「口腔機能低下症」の診断に用いられる検査で、インプラント術前の歯の喪失や、噛みづらさによる口腔機能の低下が術後に改善又は向上するか、検査からご自身の口腔機能を知っていただければと考えています。
栄養評価の際は、InBody S10を用いた体組成分析を実施しています。人のカラダは大きく分けて体水分・タンパク質・ミネラル・体脂肪で構成されており、これらの現状を表示します。また、各成分と部位別の筋肉量や除脂肪量の関係も確認でき、体内成分の均衡がわかりますので、全身の状態を知り食事や生活習慣を見直す機会になります。

03

痛みが不安な方でも

安心して受けられる
寝たままインプラント治療

歯科医院で行われる治療や手術に対して、恐怖心を抱かれる方は少なくありません。当院では、治療を通じて患者さんの負担を少しでも緩和するべく、麻酔医による安全な麻酔を行っています。麻酔薬を導入した後は徐々に意識が遠くなり、寝ている間に手術が完了します。恐怖心を感じることなく治療を行えますので、ご不安な方はぜひ一度ご相談ください。

POINT

静脈内鎮静法とは?

静脈に点滴で鎮静剤を入れて、半睡眠状態のようなリラックスした状態をつくる麻酔方法です。治療で発生する痛みや不快感を軽減させる効果があり、治療が不安な方でも安心して受けることができます。麻酔導入中は呼吸状態や心拍数、血圧など、常にスタッフが患者さんの状態を確認して、安全性に配慮したうえで行われます。

04

高品質インプラントを使用

世界シェアNo1.
「ストローマンインプラント」を使用

インプラント治療において、人工歯根と呼ばれるインプラント体の性能が治療の成功率を左右することは言うまでもありません。当院では、患者さんに埋め込むインプラントの質にこだわっており、世界シェアNo.1であるストローマン社のインプラントを導入しています。高い品質と信頼性を併せ持つインプラントで、適切な治療をご提供させていただきます。

ストローマンインプラントが
選ばれる理由

世界70ヵ国以上・500万人以上に
使用された世界シェアの高い
インプラント

世界シェアNo.1の実績を持つストローマン社のインプラントは、インプラント治療後5~10年が経過しても高い品質と安全性を保つことが特徴としてあげられます。全世界で多くの臨床実績があり、長期的な安全性も裏付けされていますのでご安心ください。

インプラントのシェア率

インプラントの世界シェア(2020年)

インプラントの国内シェア(2021年)

科学的根拠に基づいた
インプラント

ストローマン社のインプラントは一般的な臨床実績だけでなく、数多くの臨床研究や製品評価が行われています。インプラント治療後10年以上における長期的な成功度も高く、文献などの科学的根拠によって証明されています。高い品質と豊富な実績を併せ持つインプラントと言えます。

独自の素材と表面構造で
高い強度と優れた結合性を実現

ストローマン社が作るインプラントは、独自の製法と素材が用いられています。インプラント治療で埋め込まれた後は、インプラントと顎骨が比較的短い期間で結合する特徴があります。治療期間の短縮、しっかりとした固定、不快感やトラブルの減少など多くのメリットが期待できる製品です。

サージカルガイドを用いた
精度の高い治療

サージカルガイドとは、インプラント治療においてインプラント体を正確に埋め込む補助をするマウスピース状の器具です。治療計画通りの正しい位置、角度でインプラント体を埋め込むことができ、手術における安全性を向上させる役割も持ちます。

安心して治療を受けられる
設備環境をご用意

当院では、治療を通じて患者さんに安心感を持っていただけるよう、また質の高い医療をご提供できるよう、各種先端設備を導入しております。診察室、手術室、治療機器、器具など、全てにこだわってインプラント治療に適切な院内環境を整えております。

DATA

ひまわり歯科の実績・
データ

1,300本以上

※実績2001年1月~現時点1,300本以上

CONSULTATION

ひまわり歯科に
多く寄せられるご相談

01

歯を失っても
しっかり噛みたい

02

インプラント
治療について詳しく
知りたい

03

食事を美味しく
楽しみたい

04

残った歯に
負担を
かけたくない

05

見た目にも
こだわった治療を
受けたい

06

入れ歯を
装着すると
違和感がある

07

入れ歯や
ブリッジに
抵抗がある

IMPLANT

このようなお悩みをお持ちの方には

インプラント治療が
おすすめです

TREATMENT

インプラント治療とは?

人工歯や人工歯根を口腔内に装着して

噛む機能を
再現させる治療です

インプラント治療では、人工歯根(インプラント体)、連結部品(アタッチメント)、人工歯(上部構造)の順に口腔内へ設置していきます。手術によって人工歯根を顎骨に埋め込み、骨と結合することでしっかりとした固定を得ることができます。他の歯にかかるダメージが少ない、審美性が高いなどのメリットがある点も、インプラント治療の特徴です。

インプラント治療のメリット

噛む力が強い

歯ぐきに被せる入れ歯とは違い、インプラントは顎骨に固定します。本来の歯と遜色ないほど、しっかりと噛むことができます。

美味しく食べられる

入れ歯は、歯ぐきとのすき間に食べ物が詰まるなどのデメリットがありますが、インプラントであれば気にせずに食事を摂ることができます。

隣の歯を痛めにくい

留め具で隣の歯に固定する部分入れ歯は、装着中は常に歯へ負担をかけてしまいます。ご自身の歯を守るという観点で、インプラント治療を推奨しています。

自然な見た目

インプラントには入れ歯のような床部分がなく、自然な見た目です。人工歯部分は質感が良く、透明感のある素材を使用して、審美面にもこだわります。

顎骨が痩せにくい

歯が抜けた箇所は、顎骨に適度な負荷がかからないため次第に痩せていきます。インプラントを埋め込むことで、顎骨の量を維持してくれます。

定期ケアで長持ち

インプラント治療完了後は、定期的に歯科医院でメインテナンスを受けていただきます。長持ちさせる効果があり、インプラント周囲炎の予防も期待できます。

注意点・リスク・副作用

・骨が成長途中であるお子さん(およそ18歳未満の方)は、インプラント治療はできません。
・インプラント治療では、痛み止めや抗生物質などを使用するため、妊娠中の方、妊娠の可能性のある方、授乳中の方は、インプラント治療を控えてください。
・心疾患、骨粗鬆症など内科的な疾患のある方は、インプラント治療に適さない場合があります。
・上顎にインプラントを埋入する際に上顎洞を破る可能性があります。
・手術した時に感染が生じると蓄膿症になる場合があります。この場合は、インプラントを除去し、耳鼻咽喉科で治療を受けていただくことがあります。

顎の骨が足りない場合も
対応可能

他院で断られるような
難症例の場合でも
骨造成による治療が可能です

インプラントは顎骨に固定することで高い機能を発揮しますが、加齢などが要因で顎骨の量や厚みが少ない場合、
まずは骨を造る治療から行う必要があります。骨造成は歯科治療の中でも難易度が高く、
中でもサイナスリフトやGBRといった術式は、専門性の高い歯科医師でなければ対応できないことが多いです。
当院では、骨造成手術にも幅広く対応しておりますので、他院で断られたなどお困りの方は一度ご相談ください。

GBR

骨の量を補うための手術であり、インプラント体を顎骨に埋め込んだ際、骨量が足りていない部分に骨補填材を入れて骨を作ります。

ソケットリフト

上顎の奥歯部分の顎骨が薄い場合、歯ぐきを切開して垂直方向に骨補填剤を入れ込みます。比較的狭い範囲の骨造成に適した方法です。

サイナスリフト

ソケットリフトでは対応できないほど、上顎奥歯部分で広範囲に骨を作る必要がある場合に行われる手術です。多く骨補填材を使って、広範囲に骨を作ります。

スプリットクレスト

インプラントを埋め込めるだけの骨幅がない場合、垂直方向に骨に切り込みを入れて広げ、そこへインプラントを入れることで固定します。

ソケットプリザベーション

抜歯したところへインプラントを埋め込む際、骨が足りない部分の骨造成を行います。抜歯した穴の形状によっては、先に骨を作る場合もあります。

複数本欠損の場合も
対応可能

インプラント
オーバーデンチャー

IMPLANT OVER DENTURE

総入れ歯を固定するため、片顎につき2~4本のインプラントを埋め込みます。埋め込む箇所の骨が足りない場合、まずは骨造成から行います。

THOUGHT

ひまわり歯科が考える
インプラント治療

“将来のお口と全身の健康を守る手段”
としてのインプラント治療

奥歯でしっかり噛めると食事の幅が広がり、バランスよく栄養が摂れるようになるため、ご自身の健康維持にも繋がります。
インプラント治療は健康を守る手段である、と当院では考えております。

奥歯で噛める
BACK TEETH

食事
MEAL

健康
HEALTH

奥歯で噛める

食事の選択肢を広げるために、

奥歯でしっかり噛める機能を取り戻す

ひまわり歯科では『奥歯を守る』ということをとても大切に考えています。歯の中でも奥歯は、食べ物を細かくすり潰す重要な役割を持っています。インプラント治療によって奥歯で噛めるようになれば、十分に咀嚼できる食べ物の種類が増えるため、食事の選択肢を広げることができます。また、唾液もしっかり分泌されるので消化器官への負担が軽減されるとともに、効率的な栄養の吸収も期待できます。インプラント治療は、噛む機能を回復するという目的において、効果の高い治療方法であるといえます。

BACK TEETH

食事

管理栄養士による健康的な食事相談・指導で

バランスの取れた食生活を

噛む機能を取り戻した後は、『何を食べるのか』ということも重要です。当院には専属の管理栄養士が在籍しており、患者さんの健康状態やお悩みに合わせた食事相談や指導が可能です。栄養状態や食事習慣、ご希望などをヒアリングさせていただき、食事計画の作成、食品選択のアドバイス、記録チェックなど、さまざまな支援を行います。患者さん一人ひとりに適した、長期目線で健康を守るためのサポートをさせていただきます。

MEAL

健康

噛める機能とバランスの良い食事で

全身の健康を確立

噛む治療を取り戻すインプラント治療、歯科衛生士の定期的なプロフェッショナルメインテナンスや管理栄養士による食事相談・指導が目的とするのは、歯やお口だけではない全身の健康です。健康寿命を長く保つことが大切とされる時代になりました。インプラント治療をして終わりではなく、患者さんの将来の健康を考えた医療をお届けいたします。

HEALTH

このように皆さんの健康を支えるため、
当院では「奥歯を守る」ことが
大切だと考えています

食事面も配慮したうえで長期的な健康を守るためには、インプラント治療が適しています。
噛む機能の再現としては入れ歯も一般的ですが、入れ歯では咬合力が50%程度しか回復しません。
唯一、100%回復が可能なインプラント治療で健康な生活を手に入れましょう。

GREETING

理事長紹介

院長・理事長岡本佳明

全身的な健康を高めるための
インプラント治療

この度は、当ページをご覧いただき誠にありがとうございます。当院ではインプラント治療の目的を、「全身的な健康度を高めるため」と位置付けております。歯を失ったところにインプラント治療を行うことで、見た目の問題や噛み合わせのバランスの不調和を解決するという目的もありますが、なにより歯を失っている時よりも「噛む」ことが容易になります。歯を失うと、噛みにくさから柔らかい食べ物を選択してしまう傾向がありますが、その場合、食べ物から得る栄養に偏りが生じてしまい、慢性的な栄養不足や偏りにより高血圧や糖尿病などの全身疾患を引き起こしてしまう可能性も高まります。インプラント治療により、それらの栄養の偏りを防ぐことが目的です。そうすることでいつまでも健康な体づくりを支え、ひいては人生の満足度を高めることに貢献したいと思っております。

そのような目的で取り組んでいるインプラント治療ですが、当院では患者さんが安全に治療を受けることができるよう配慮しております。使用するインプラントはストローマン社製です。ストローマン社はこれまで、インプラント治療についてのエビデンス(長期的な予後や有用性などについての情報)構築に多大な貢献をしてきた機関であり、インプラントのシェアも世界1位、品質は非常に高いです。また、患者さん一人ひとりの状態に合わせた術前のCTシミュレーションや治療計画、専門性の高い歯科医師が施術を担当するなど、患者さんが安心して治療を受けられる体制を整えております。インプラント治療は治療したら終わり、ではなくその後も継続して管理していくことが重要です。近年ではインプラント治療を受けた歯科医院が閉院してしまうことで、次に管理してくれる歯科医院を探さないといけない、という状況に遭う患者さんも増えております。

当院はインプラント治療に精通する歯科医師や歯科衛生士が複数在籍しており、管理体制が途絶えないようにしております。また、要介護状態などにより通院ができなくなった場合も、歯科訪問診療などでご自宅や入所施設に伺い終末期まで責任を持ってケアする体制を整えており、人生100年時代において最後までインプラント部分の管理を任せていただくことができます。インプラント含め、お口の治療にお悩みの方はぜひ一度お気軽にご相談ください。

略歴

  • 福岡歯科大学 卒業
  • 熊本県(医)瀬尾歯科クリニック 勤務
  • 広島県(医)光ヶ丘歯科 勤務
  • 平成11年 ひまわり歯科 開業

受講歴

  • 歯科医師臨床研修指導歯科医講習会 修了
  • 歯科医師臨床研修プログラム責任者講習会 修了
  • 指導歯科医講習会講師養成研修会 修了

資格・所属学会

  • 日本口腔インプラント学会
  • 日本老年歯科医学会
  • 日本小児歯科学会
  • 日本障害者歯科学会
  • 日本口腔内科学会
  • 日本総合歯科学会
  • 日本糖尿病学会
  • 日本歯科医療管理学会
  • 日本栄養改善学会
  • 日本プライマリ・ケア連合学会
  • 日本臨床腸内微生物学会
  • 社会歯科学会
  • 日本歯周病学会

書籍のご紹介

超高齢社会の日本を支える
地域支援型多機能歯科診療所

出版社:幻冬舎
発売日:2024年3月13日

言語:日本語
単行本:200ページ

購入はこちら

RISK

インプラント治療に
関するリスク

インプラントは入れて終わりではなく

長く使えるための
メインテナンスが必要です

インプラント治療は、インプラントや人工歯を入れて噛めるようになっても終わりではありません。インプラントを長持ちさせるためには、定期的に歯科医院でメインテナンスを受けることが大切です。ケアを怠ってインプラント周囲炎になってしまうと、腫れや痛みを伴い、最悪の場合はインプラントを抜去せざるを得ないリスクもあります。

インプラントを長く使用するために

患者さんのことを考えた
徹底的な管理体制を
整えています

術後のメインテナンス・
アフターフォロー

当院では、インプラント治療完了後のケアにも力を入れています。定期的なメインテナンスに加えて、嚥下指導や栄養指導など、患者さんの健康にも配慮した管理体制を導入しております。もし再手術が必要になった場合は、治療技術が標準化されたインプラント専門チームによって、適切な治療をご提供させていただきますのでご安心ください。

術後も安心できる保証制度

インプラント治療を受ける患者さんには、術後の保証体制を気にされる方が少なくありません。当院では、そのようなご不安をできる限り緩和できるよう、インプラント体は埋め込み後5年間、人工歯は装着後2年間の保証制度(当院規定による)を設けております。詳細が気になる場合は丁寧にご説明させていただきますので、ぜひお気軽にお問い合わせください。

FLOW

治療の基本的な流れ

01

インプラント相談
インプラント治療をご希望の方は、まずはカウンセリングさせていただきます。当院のカウンセリングは無料となっており、治療内容や費用など詳細までご説明させていただいております。また、無料でCT撮影も行っており、カウンセリング時に治療イメージをお伝えするために役立てております。

COUNSELING

インプラント治療の無料
カウンセリングを行っております。
まずはお気軽にご相談ください。

02

精密検査
インプラント治療の計画を立てるため、患者さんの口腔内データを取得します。パノラマレントゲン撮影や口腔内写真の撮影、3Dスキャナーによる光学印象など、各種精密検査を実施して患者さんの状態をしっかりと把握します。

03

診断・治療計画の説明
精密検査やヒアリングを基に作成された診断・治療計画について、丁寧にわかりやすく説明いたします。ご不明なことがあれば、何なりとお聞きください。なお、当院ではご希望の方に対して静脈内鎮静法が可能であり、実施される方には事前に血液検査も行います。

04

一次手術
顎骨にインプラント体を埋め込む手術は、一次手術と呼ばれます。患者さんの顎骨の量や厚みが足りない場合は、一次手術の前に骨造成手術を実施して、インプラント体を固定するために必要な骨をつくります。

05

二次手術
インプラント体と顎骨の固定が確認できた後、インプラント体と人工歯を繋ぐ連結部品(アバットメント)を装着する二次手術を行います。少しだけ歯ぐきを切開してインプラント体を出し、アバットメントを取り付けます。

06

人工歯の取り付け
二次手術が完了して人工歯の作製も済みましたら、アバットメントに人工歯を取り付けます。人工歯は患者さん一人ひとりに合うよう、自然な質感に調整させていただきます。

07

メインテナンス
インプラント治療後は、定期的にメインテナンスを受けていただきます。インプラント周囲炎を予防するために必須であり、歯科医院でしっかりチェックしてもらってインプラントを長持ちさせましょう。

無料相談
実施中

COUNSELING

各専門分野のスタッフが
丁寧に対応させていただきます

まずは無料相談へお越しください

(お口の中の状況により詳しい検査診断が必要となる場合は、ご意向を確認の上、保険適用の検査を受けていただく場合があります。)

歯を失ったところへ
インプラントを入れたい

インプラント治療の詳細や
費用を教えてほしい

入れ歯との
違いを知りたい

他院でインプラント
治療を断られた

RESERVE

お電話またはWEBよりご予約いただけます

TEAM

インプラントチーム紹介

  • 理事長

  • 歯科医師

  • 歯科麻酔

  • 歯科衛生士

  • 管理栄養士

  • 理事長

    院長・理事長岡本佳明

    略歴

    • 福岡歯科大学 卒業
    • 熊本県(医)瀬尾歯科クリニック 勤務
    • 広島県(医)光ヶ丘歯科 勤務
    • 平成11年 ひまわり歯科 開業
    • 歯科医師臨床研修指導歯科医講習会 修了
    • 歯科医師臨床研修プログラム責任者講習会 修了
    • 指導歯科医講習会講師養成研修会 修了

    資格・所属学会

    • 日本口腔インプラント学会
    • 日本小児歯科学会
    • 日本口腔内科学会
    • 日本糖尿病学会
    • 日本栄養改善学会
    • 日本臨床腸内微生物学会
    • 日本歯周病学会
    • 日本老年歯科医学会
    • 日本障害者歯科学会
    • 日本総合歯科学会
    • 日本歯科医療管理学会
    • 日本プライマリ・ケア連合学会
    • 社会歯科学会
  • 歯科医師

    久保 尚也

    Naoya Kubo
    副院長

    経歴

    • 広島大学歯学部 卒業
    • 中国労災病院歯科口腔外科 歯科臨床研修 修了
    • 歯科医師臨床研修指導歯科医講習会 修了
    • 歯科医師臨床研修プログラム責任者講習会 修了

    資格

    • 日本障害者歯科学会認定医
    • 歯科医師臨床研修指導歯科医

    船木 泰佑

    Taisuke Funaki

    経歴

    • 岡山大学歯学部 卒業
    • (医)湧泉会ひまわり歯科 歯科臨床研修 修了
    • (医)湧泉会ひまわり歯科 入社

    資格

    • 副外来長
    • 日本障害者歯科学会認定医
  • 歯科麻酔医

    西中村 亮

    Ryo Nishinakamura
    副院長

    経歴

    • 広島大学歯学部 卒業
    • 尾道市公立みつぎ総合病院 歯科臨床研修 修了
    • 同病院 歯科勤務
    • 広島大学病院 歯科麻酔科 診療医
    • 歯科医師臨床研修指導歯科医講習会 修了
    • 歯科医師臨床研修プログラム責任者講習会 修了
    • 指導歯科医講習会講師養成研修会 修了

    資格

    • 副院長
    • リスクマネジメント部門 部長
    • 日本歯科麻酔学会認定医
    • 日本障害者歯科学会認定医
    • 歯科医師臨床研修指導歯科医
    • 歯科医師臨床研修プログラム副責任者

    冨永 晋二

    Shinji Tominaga

    経歴

    • 福岡歯科大学歯学部 卒業
    • 福岡歯科大学大学院 修了(歯科麻酔学専攻)
    • 福岡歯科大学 助手(歯科麻酔学講座)
    • 福岡歯科大学 講師(麻酔管理学分野)
    • 歯学博士

    資格

    • 歯科麻酔部門 部長
    • 日本歯科麻酔学会 専門医・代議員
    • 日本障害者歯科学会認定医
    • 日本蘇生学会指導医
    • 歯科医師臨床研修指導歯科医

    土井 充

    Mitsuru Doi

    経歴

    • 福岡歯科大学歯学部 卒業
    • 福岡歯科大学 診断・全身管理学講座麻酔管理学分野 入局
    • 雪の聖母会 聖マリア病院 麻酔科勤務
    • 広島大学大学院医系科学研究科 歯科麻酔学研究室 助教

    資格

    • 日本口腔顔面痛学会指導医
    • 日本歯科麻酔学会専門医
    • 日本歯科心身医学会評議員

    小田 綾

    Aya Oda

    経歴

    • 広島大学歯学部 卒業
    • 広島大学病院歯科研修 修了
    • 広島大学病院歯科麻酔科 入局
    • 歯学博士
    • JA広島総合病院麻酔科勤務(医科麻酔科研修)

    資格

    • 日本歯科麻酔学会専門医
    • 日本障害者歯科学会認定医

    今村 芹佳

    Serika Imamura

    経歴

    • 広島大学歯学部 卒業
    • 広島大学病院歯科研修 修了
    • 広島大学病院歯科麻酔科 入局
    • 歯学博士
    • JA広島総合病院 麻酔科勤務(医科麻酔科研修)

    資格

    • 日本歯科麻酔科学会認定医
  • 歯科衛生士

    中谷 真奈美

    Manami Nakatani

    経歴

    • 鶴見大学短期大学部歯科衛生科 卒業

    資格

    • 統括部長
    • 歯科衛生士

    石井 千晶

    Chiaki Ishii

    経歴

    • 広島高等歯科衛生士専門学校 卒業

    資格

    • 歯科衛生士
    • 情報分析戦略部部長

    笹井 奈津

    Natsu Sasai

    経歴

    • 高知学園短期大学医療衛生学科 卒業

    資格

    • 歯科衛生士 主任

    石川 夕梨香

    Yurika Ishikawa

    経歴

    • 広島大学歯学部口腔健康科学科 卒業

    資格

    • 歯科衛生士
  • 管理栄養士

    吉本 はる

    Haru Yoshimoto

    資格

    • 管理栄養士部長

    望月 留那

    Runa Mochizuki

    資格

    • 管理栄養士

    延近 憂美

    Umi Nobuchika

    資格

    • 管理栄養士

CASE

症例紹介

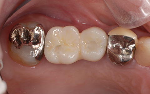
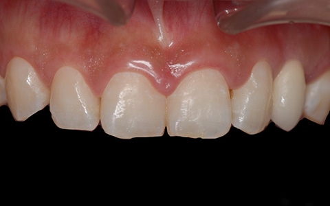
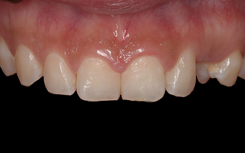
  • CASE.1

    Before

    After

    Before

    After

    治療期間 4ヶ月
    費用 前歯部のケース
    286,000円(手術代)+176,000円(被せ物代)=462,000円

    臼歯部
    286,000円×2(手術代)+121,000円×2(被せ物代)=814,000円
    リスク・副作用 手術直後の副作用・リスク
    • 術後の痛み、腫れ、出血、発熱
    • 傷口の裂開、感染症の発生(再縫合や抗生剤投与が必要になる場合あり)
    • 内出血や口角炎
    • 知覚異常(下顎神経損傷による麻痺やしびれ)
    • 上顎洞に近い部位での手術による上顎洞炎
    • インプラントの迷入(副鼻腔・血管内など)

    中長期的なリスク
    • インプラント体と骨が結合しない(オッセオインテグレーション不全)
    • インプラント周囲炎(歯周病と同様の炎症で、骨吸収や脱落の原因)
    • 骨吸収により歯冠が長く見える、審美性低下
    • インプラント体の破折
    • 過剰な咬合力による上部構造や周囲骨へのダメージ

    全身的・適応に関わるリスク
    • 全身疾患(糖尿病、心疾患、骨粗鬆症など)による治癒不全や感染リスクの増加
    • 喫煙による成功率低下
    • 金属アレルギー(チタンなどに対する反応は稀だがゼロではない)
    • 高齢化による除去の困難性(老後のメンテナンスリスク)

    その他の留意点
    • 保険適用外であり経済的負担が大きい
    • 手術中の異物誤飲・誤嚥リスク
    • 定期的なメンテナンスが不可欠(清掃不良でトラブルが増加)

無料相談
実施中

COUNSELING

各専門分野のスタッフが
丁寧に対応させていただきます

まずは無料相談へお越しください

(お口の中の状況により詳しい検査診断が必要となる場合は、ご意向を確認の上、保険適用の検査を受けていただく場合があります。)

歯を失ったところへ
インプラントを入れたい

インプラント治療の詳細や
費用を教えてほしい

入れ歯との
違いを知りたい

他院でインプラント
治療を断られた

RESERVE

お電話またはWEBよりご予約いただけます

FEE

費用

インプラント

インプラント
※埋入・補綴費用含む
385,000~440,000円
骨造成 55,000円
ソケットリフト 55,000円
サイナスリフト 220,000円
静脈内鎮静 58,300円

お支払方法

当院では、
下記のお支払方法が可能です。
月々払いにも対応しておりますので、
費用に関するご相談は
お気軽にお声がけください。

現金
電子マネー
クレジットカード
デンタルローン

医療費控除について

1年間(1月1日~12月31日)で医療費を10万円以上支払った場合に、一定金額の所得控除を受けることができる制度が医療費控除です。ご自身のみならず、生計をともにするご家族の医療費も適応となります。詳しくは国税庁のホームページをご覧ください。

国税庁のホームページ

無料相談
実施中

COUNSELING

各専門分野のスタッフが
丁寧に対応させていただきます

まずは無料相談へお越しください

(お口の中の状況により詳しい検査診断が必要となる場合は、ご意向を確認の上、保険適用の検査を受けていただく場合があります。)

歯を失ったところへ
インプラントを入れたい

インプラント治療の詳細や
費用を教えてほしい

入れ歯との
違いを知りたい

他院でインプラント
治療を断られた

RESERVE

お電話またはWEBよりご予約いただけます

CLINIC

医院紹介

〒736-0064
広島県安芸郡海田町昭和中町2-38

診療時間
9:00~12:30
14:30~18:30

:土曜午後は14:00~17:00 休診日:日曜、祝日

アクセス詳細

QA

よくあるご質問

Q

インプラント治療の期間はどのくらいでしょうか

インプラントを埋め込む位置、顎骨の量や厚さ、口腔内状態によって異なります。一般的に4ヵ月から1年間ほど必要とします。

Q

高齢者でも治療を受けられますか

口腔内の状態や全身疾患の有無などによりますが、条件を満たせば治療を受けていただけます。なお、加齢などが原因で顎骨の量が少ない場合は、骨造成を伴う治療が必要となります。

Q

金属アレルギーがあっても大丈夫ですか

国内で使用されるインプラント体は、ほぼすべてチタン製です。チタンはアレルギーを起こしにくく、生体親和性も高い素材です。ご不安な方は、一度アレルギー反応を確認されることを推奨しています。

Q

インプラント治療に保証はありますか

当院では安心して治療を受けていただけるよう、インプラント体埋め込み後の5年間、および人工歯装着後の2年間は保証制度(当院規定による)を設けています。

Q

インプラントの寿命はどのくらいですか

一般的に10~15年が目安とされています。定期的なメインテナンス、口腔内ケアを意識することで、長持ちさせることができます。